Crowns and Bridges
Pressed Ceramic Restoration E.max
- Lithium disilicate pressed using lost wax technique
- Stump shade is used for the final restoration


Zirconia Restorations
- Zirconia coping or bridge framework
- Ceramic hand layered
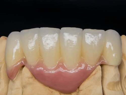
Zirconia Restoration – Full Contour
- Zirconia milled to full contour
- Extremely strong with good aesthetics


Zirconia Winged Bridge
- Zirconia pontic supported with zirconia wings
- Porcelain used to build to full contour
Full Cast Crown, Inlay, and Onlay
- Noble or high noble alloys
- Waxed, cast, and finished in white or yellow gold


Porcelain to Metal
- Porcelain is baked onto a cast metal coping or substructure
- Porcelain shoulder margins available
- Noble or high noble alloys.
Maryland Bridge
- Requires minimal tooth reduction or preparation
- Metal-ceramic, zirconia or composite
- Replaces a missing tooth/teeth with pontic(s)
- Bonded utilizing lingual retainers (wings) on adjacent teeth


Reduction Coping
- Ensures the proper fit of a restoration designed for a model that has been adjusted
- Assists doctors in further preparing the prepped tooth.
Cast Post
- For root canal teeth
- Waxed, cast, and finished post and core replace the root to build up the tooth to support a crown


Overdenture Coping
- A cast cap to cover a prepped tooth to preserve the tooth or add an attachment such as a retainer for a denture
Laser Weld
- Used to repair crowns, bridges, and implants in lieu of soldering

